近日,我院泌尿外科團隊在劉兆勇主任帶領下,經后腹腔鏡順利切除一直徑達9厘米巨大腎上腺腫瘤。刷新了該科腔鏡下手術切除腎上腺巨大腫瘤紀錄。

病例
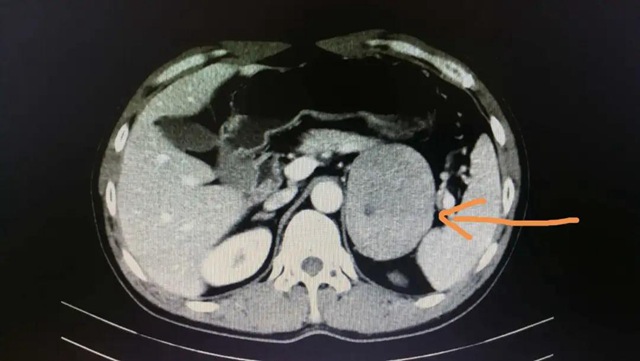
后腹腔鏡下巨大腎上腺腫瘤切除術
該患者,男性,52歲,因“尿頻2年”住院,檢查發現左側腎上腺腫瘤(9cm)。
考慮瘤體大、位置較深,周圍布滿大血管、淋巴管及脂肪組織,腎上腺組織易脆出血,泌尿外科團隊經術前討論,決定行經后腹腔腎上腺腫瘤切除術。
▲CT掃描下的腎上腺腫瘤
充分完善術前準備后,于2020年6月9日在全麻下行該手術,手術歷時2.5小時,術中生命體征平穩,術后病理結果提示:腎上腺嗜酸細胞瘤,術后患者恢復良好,7天后順利出院。
小編腦補了一下
切除腫瘤直徑9厘米,鵝蛋那么大啊
默默點個贊

據劉兆勇主任介紹:
腎上腺腫瘤手術屬泌尿外科風險極高手術,多年前甚至列為手術禁區,死亡率極高。
近年來,隨著腹腔鏡等微創技術的發展以及對疾病的深入認知和風險防范,手術成功率已有很大提高,但腫瘤直徑超過5cm,手術難度就很高了。
我院泌尿外科于2019年開展該手術,截止目前,已成功開展10余例。
本次手術,成功刷新了我院該手術切除腎上腺腫瘤體的最大直徑。

——科普時間到——
腎上腺是體內重要的內分泌器官,由于其位置與腎臟關系密切,故歸屬于泌尿外科系統疾病。
腎上腺能夠分泌多種人體必需的激素。腎上腺發生腫瘤后,會導致激素分泌異常,從而產生一系列癥狀。
常見癥狀有:向心性肥胖、高血壓、低血鉀等,也可有無癥狀的腎上腺腫瘤。
傳統的腎上腺手術一般是經腰部或者經腹部切口,切口較大,創面較廣泛,患者術后恢復較慢。此外,腎上腺位置較深,進行開放手術難度較大。
而腹腔鏡手術借助腹腔鏡的放大作用和清晰的攝像監視系統,其對于此類較深部位的手術視野,比采用常規開放手術所顯露的視野更加清晰,因此,腹腔鏡下腎上腺手術已被公認為腎上腺疾病手術治療的“金標準”。